Servicios

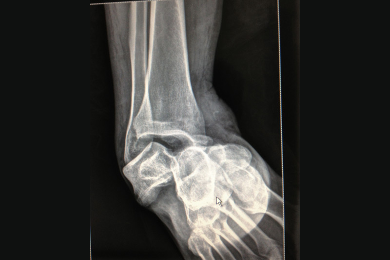
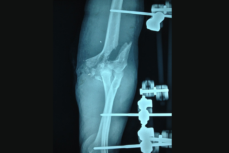
Urgencias traumatológicas


Debido a los accidentes de tránsito, a diario las personas sufren fracturas y lesiones de alto impacto, se otorga manejo de estas lesiones con implantes y material de osteosíntesis restableciendo la anatomía.

0

Casos de éxito

0

Cirugías realizadas

0

Nuevos pacientes

0

Pacientes frecuentes

Solicita tu consulta Ahora!